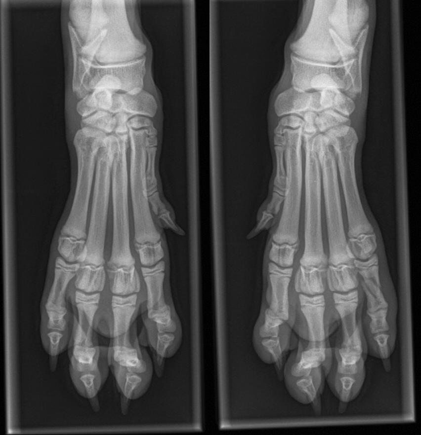
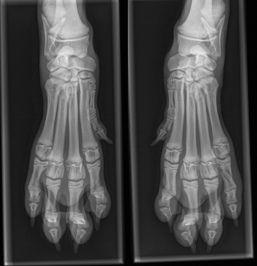
Vad är diagnosen?

En reaktion till “Vad är diagnosen?

Lämna en kommentar